「インプラント」に興味がある

診療時間
10:00~13:30///
15:00~19:30///

地下鉄「心斎橋駅」より徒歩1

診療のご予約・お問い合わせ

06-4708-8894

24時間初診WEB予約 ※初診のご予約のみ
となります

キービジュアル

「睡眠無痛治療」に対応

1日で噛める歯が入る、
All-on-4(オールオン4)にも対応

画像

顎骨が少なくても
骨造成が不要な、
Densah® Burにも対応

画像

次のような方に
インプラント治療をお勧めしています

  • 多くの歯がボロボロ……
  • 他院で行ったインプラントに不具合が……
  • 入れ歯が合わない……
  • ブリッジではない治療法を探している……

※最大15年保証※
※セカンドオピニオンにも対応※

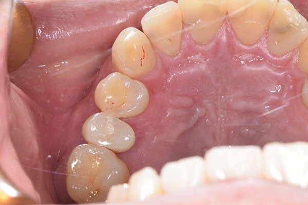
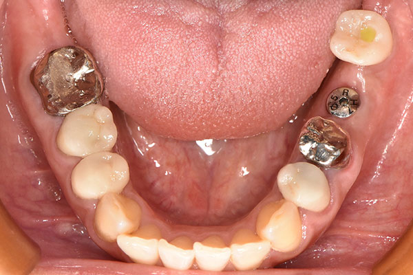
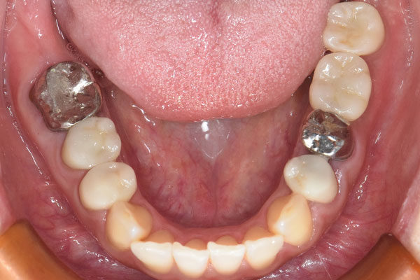
  • 治療前
  • 治療後
  • 治療前
  • 治療後
  • 治療前
  • 治療後
  • 治療前
  • 治療後
  • 治療前
  • 治療後
  • 治療前
  • 治療後

インプラント治療をしたケース。

理事長による無料相談

理事長」による無料相談を実施中。

当院のインプラント「治療体制」をご紹介します

画像

当院で行うインプラント治療は多くの特徴がありますので、ぞれぞれご紹介します。

数多くの症例を手掛けた「理事長」が必ずオペを担当します

当院のインプラント治療は、日本だけでなく海外でも多くの研鑽を積んだ理事長必ず担当します。

画像

秋田 誠(Makoto Akita)

  • 朝日大学歯学部 卒業
  • 兵庫県立淡路病院歯科口腔外科 勤務
  • 秋田歯科クリニック 開業
  • 心斎橋デンタルクリニック 開業
  • 日本口腔インプラント学会
  • 日本口腔外科学会
  • 日本歯科審美学会
  • 画像
  • 画像
  • サティフィケイト
  • サティフィケイト
  • サティフィケイト
  • サティフィケイト
  • サティフィケイト
  • サティフィケイト
  • サティフィケイト
  • サティフィケイト

「睡眠無痛治療(静脈内鎮静法)」
~寝ている間にオペが終わります

画像
画像

インプラントは外科処置が伴いますので、患者さんからすると「怖い」というイメージが先行すると思います。
そのような方のために、当院では「睡眠無痛治療(静脈内鎮静法)」で対応することもできます。

点滴を通し鎮静薬を注入する方法で、次のような特徴があります。

  • 数分でほぼ眠った状態になる
  • 治療中の恐怖心から解放される
  • 痛みや振動なども感じない

この方法を経験された方は「気づいたら終わっていた」「もっと早く知っていればよかった」とおっしゃいます。

ストレスなく治療を終えたい方、歯科恐怖症の方、嘔吐反射が強い方にお勧めの方法です。
全身麻酔ではないため、身体への負担もほぼない方法です。

「All-on-4(オールオン4)」
その日のうちに噛める歯が入る

画像

歯がボロボロの方総入れ歯の方歯があまり残っていない方にお勧めするのがAll-on-4(オールオン4)と呼ばれる治療法です。

All-on-4(オールオン4)とは、4本~6本のインプラントを埋入し、全部(片顎12本)の人工歯を支える治療法です。

次のような特徴があります。

  • オペ当日に噛める歯が入る
  • 切らない/縫わない/腫れない治療が可能
  • 顎の骨が少なくても治療できる
  • 歯の本数分インプラントを埋入するよりも経済的
  • 肉体的/精神的負担が少ない(歯の本数分のインプラント埋入と比較して)
画像
これまでは、インプラント治療をする際、歯を失った本数分のインプラント処置が必要でしたが、All-on-4の場合は、4本~6本の埋入で済むため、治療費も大幅に抑えられ、かつ、1回のオペで噛める状態までもっていきますので、患者さんの肉体的負担も最小限にできます

以下、一般的なインプラント治療All-on-4との「比較」になります。

画像 画像

「顎骨が少ない」場合でも骨造成なしで対応できる「Densah® Bur」

インプラント治療は「顎の骨にインプラントを埋入する治療」なので、顎の骨が少ない場合、技術力がない医院の場合は「対応できない」と判断し、技術力がある医院の場合は「対応できるが、別の外科処置を追加で行う必要がある」ということです。

しかし、当院の判断は上記の2つとは異なる判断になります。
それは「大掛かりな骨造成なしで、対応できます」という判断です。

なぜ、このような対応が可能なのか?
それは「Densah® Bur」に対応しているからです。

Densah® Burとは?

画像

Densah® Burはインプラント術式の1つです。通常は「ドリル」で顎の骨に穴をあけてインプラントを埋入しますが、Densah® Burではドリルではなく「キリ」のようなもので徐々に穴を広げていく方法です。

次のような特徴があります。

  • 顎骨の幅が少なくても骨造成なしでインプラントができる
  • 骨を削る時の不快な音や振動を抑えられる
  • 顎骨が柔らかくてもインプラントが安定する

Densah® Burでは骨を押し広げ圧縮させる方法になるため、インプラント周囲の骨密度が高くなり安定しやすくなります。
これにより、「骨幅が少ない方」「骨が柔らかい方」でも、骨をわざわざ作らなくてもインプラントを入れることが可能になりました。

骨造成をすると、治療期間がさらに伸びるだけでなく、治療費も増えます。
また、外科処置が1回増えるため、患者さんの肉体的/精神的負担も増加しますので、Densah® Bur法は、とても患者さんに優しい治療法になります。

画像

「世界のドクターが利用」するブランドメーカーを利用

  • ストローマン
  • アストラテック
  • オステム

世界には数多くのインプラントメーカーが存在します。
特徴は様々で、中には安かろう悪かろうメーカーも存在します。

当院では3つのメーカーの使い分けを行っています。

  • ストローマン(世界シェアNo1)
  • アストラテック(世界シェアNo3)
  • オステム(世界シェアNo6)

どれも世界シェアを獲得している世界のドクターから評価されているメーカーになります。
どのメーカーを選択するかにもよりますが、1本25万円(税込)からでご提供しています。

「精密機器/環境」 ~治療精度の追求

インプラントの成功率を高めるためインプラントを行う「環境」も重要になります。
当院では精密機器の他、オペ室や歯科技工士との密な連携を行い、安心・安全・確実性を高める環境を整えております。

  • CT(精密な診断)
  • マイクロスコープ(治療精度の向上)
  • CGF(治療期間短縮/治癒促進)
  • オペ室(滅菌空間)
  • 歯科技工士との連携(審美性/機能性の追求)
  • 画像
  • 画像
  • 画像
  • 画像
  • 画像
  • 画像

「セカンドオピニオン」に対応。「5年~15年保証」にも対応

画像
画像

セカンドオピニオン

当院ではセカンドオピニオンにも対応しています。
例えば、他院での提案や治療に納得のいかない方、もう少し他のドクターの意見を聞いてみたい方、ご相談ください。

インプラント治療には様々な治療法があります。また、治療費や治療環境も大きく異なることもありますので、ご自身が納得できるまで見聞きすることをお勧めします。

5年~15年保証

当院が行うインプラント治療には「保証期間」を設けています。

  • 5年
  • 10年
  • 15年

保証期間によって治療費も変動する形です。
詳細は当院にお問い合わせください。

インプラント動画集

初診「個別」相談へのご案内

当院では、患者さんが抱えていらっしゃるお口のお悩みや疑問・不安などにお応えする機会を設けております。どんなことでも構いませんので、私たちにお話ししていただけたらと思います。
ご興味がある方は下記からお問い合わせください。

診療のご予約・お問い合わせ/自由診療専門

06-4708-8894

※初診のご予約のみとなります

地下鉄 「心斎橋駅」 より 徒歩1

診療時間
10:00~13:30///
15:00~19:30///
  • ※土曜日は、手術日です。 休診日:木曜日、日曜日、祝日